
Odontoiatria conservativa
Grazie alle moderne tecniche dell'odontoiatria conservativa è possibile garantire a ogni paziente un'igiene orale impeccabile: la conservativa infatti permette interventi di minima invasività, provvedendo all'eliminazione dei più diffusi disagi, come la carie, con la sola rimozione del tessuto malato, che poi è possibile ripristinare in poche e semplici mosse tramite materiali di restauro. Lo Studio Dentistico C.O.B. sceglie i materiali estetici più performanti e le tecniche più innovative, come quella adesiva, per otturazioni o intarsi che completino al meglio l'opera preventiva.
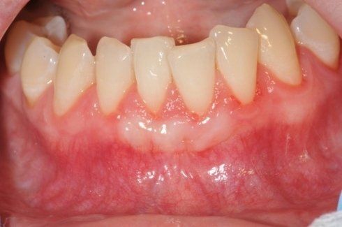
Parodontologia
Gli esperti di Studio Dentistico C.O.B. sono specializzati in parodontologia, la branca che studia i tessuti del parodonto, ovvero quelli che circondano il dente. Si tratta di tessuti molli e tessuti duri che garantiscono stabilità al dente e che, quando intaccati da malattia parodontale batterica sono soggette a parodontiti e gengiviti. Per non incorrere in tali disagi, lo studio di Varese consiglia misure preventive come periodici controlli dal dentista, che può consigliare riguardo i metodi che meglio garantiscono una buona igiene orale anche a casa.

+39 0332 310711



