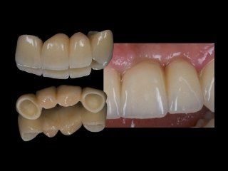
Protesi dentali di alta qualità
Lo staff medico dello Studio Dentistico C.O.B si occupa personalmente della progettazione e della realizzazione di dispositivi odontoiatrici di altissima qualità, totalmente rispondenti alle necessità funzionali ed estetiche più specifiche di ogni paziente. L'iter terapeutico viene concordato solo dopo una visita specialistica volta a verificare la situazione di partenza in ogni dettaglio, per poi procedere con la creazione di una protesi, fissa o mobile, ideale per le esigenze del paziente, che può affidarsi con sicurezza allo studio di Varese sapendo di mettere la propria salute nelle mani di dentisti esperti e competenti. Presso lo studio odontoiatrico di via Bruno Buozzi infatti vengono utilizzati solo i migliori materiali C.E. per la costruzione delle protesi, realizzate interamente a Varese, rispettando la tradizione della produzione made in Italy. Per ritrovare uno splendido sorriso e garantire a tutta la famiglia le corrette funzionalità masticatorie e digestive rivolgiti allo studio, a tua disposizione con soluzioni ad hoc.

+39 0332 310711





